Cabinet
Formations
Actis Dentaire
Heures d’ouverture
Lundi : 8h30-12h30, 13h30-18h30
Mardi : 8h30-12h30, 13h30-18h30
Mercredi : 8h30-12h30, 13h30-18h30
Jeudi : 8h30-12h30, 13h30-17h00
Vendredi : 8h30-12h30, 13h30-18h30
Samedi et Dimanche : Fermé

ALIMENTATION APRÈS CHIRURGIE
MÉDICAMENTS ET ANTALGIQUES APRÈS CHIRURGIE
CONSEILS APRÈS GREFFE OSSEUSE OU GINGIVALE
CONSEILS POST-OPÉRATOIRES APRÈS EXTRACTION / DENTS DE SAGESSE
CONSEILS POST-OPÉRATOIRES APRÈS IMPLANT
MÉDICAMENTS : CE QU’IL FAUT SAVOIR AVANT UNE CHIRURGIE DENTAIRE
CONSIGNES PRÉ-OPÉRATOIRES GÉNÉRALES
ECLAIRCISSEMENT DENTAIRE
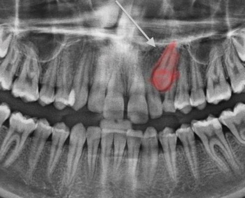
Résection apicale ou APICOECTOMIE
DEGAGEMENT DE CANINES INCLUSES